Mri 認知 症
認知症のの診断診断に用に用用いるいる画像 CT MRI SPECT PET •脳血管性病変のの評価評価 •多発性のもの •大大きいものきいもの •両側性のもの •PVLのの評価評価 •小小さなさな病巣のの判定判定 •海馬のの評価評価 •PVHのの評価評価.
Mri 認知 症. 認知症のの診断診断に用に用用いるいる画像 CT MRI SPECT PET •脳血管性病変のの評価評価 •多発性のもの •大大きいものきいもの •両側性のもの •PVLのの評価評価 •小小さなさな病巣のの判定判定 •海馬のの評価評価 •PVHのの評価評価. 5.認知症のセルフチェック 『認知症の人と家族の会』が作成した認知症早期発見テストを試してください。いくつかの項 目が当てはまるなら、ぜひ、認知症外来を受診してください。他の病気と同じように認知症も 早期発見・早期治療が大切です。. ・認知症の正しい理解と包括医療・ケアのポイント 第2版 協同医書出版社 山口晴保編集 ・神経mri診断学 株式会社cbr 伊藤彰一著 ・海馬〜脳は疲れない〜 株式会社朝日出版 池谷裕二・糸井重里著.
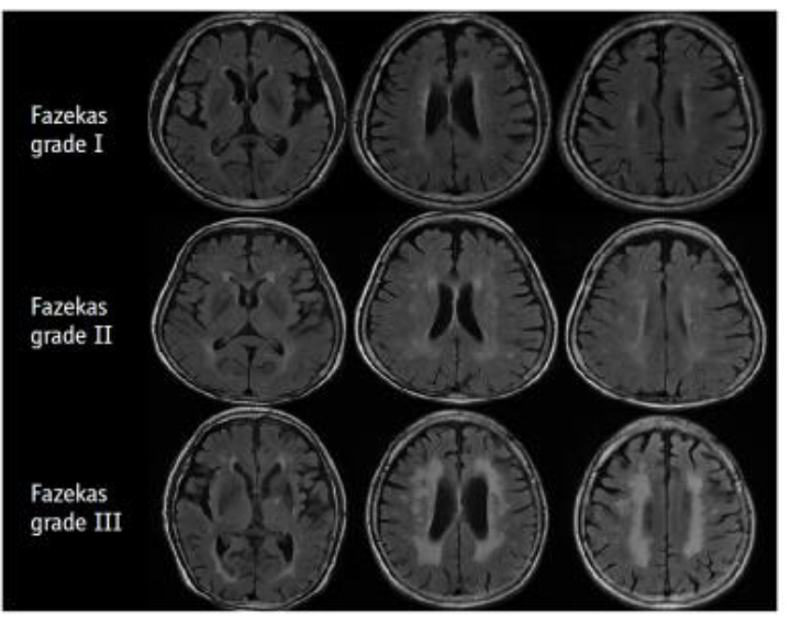
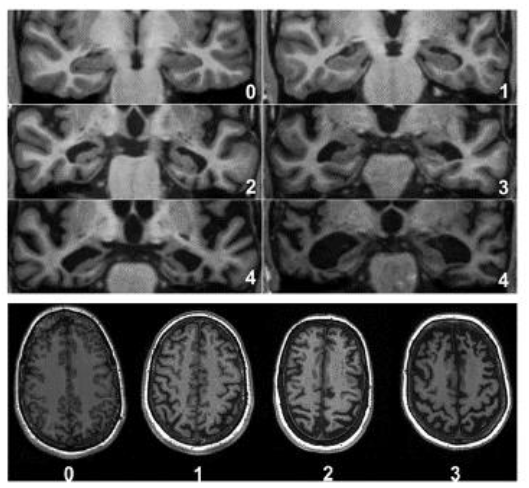
CT、MRIによる形態画像診断では、脳の萎縮、脳梗塞・脳出血、脳腫瘍、水頭症、慢性硬膜下血腫などの有無を調べます。 アルツハイマー型認知症では、脳の全般的萎縮と海馬(矢印部分)の萎縮(脳溝拡大、脳室拡大、側脳室下角拡大など)が著明である。 連載第11回で示したものは水平断で、ここでは冠状断を示した 本書で紹介している治療法等は、著者が臨床例. 近畿大学病院放射線診断科で認知症に対する画像検査を受けられた患者様・ご家族の皆様・・・ お知らせ 近畿大学病院放射線診断科(以下、当科)では、「認知症患者の診療情報を用いた認知症患者データベースの構築」という臨床研究を行っています。. 認知症ドッグで軽度認知症を早期発見して適切な対策を行うことにより、症状の進行を阻止することが可能となり、認知症の症状が最後まで出ずにすむケースもあります。 検査内容 1心理学的検査(認知力・記憶力) 2mri検査.
海馬回旋遅滞症は②の冠状断像で最も診断しやすくなります。 海馬のmriを撮影するのは、主にてんかんやけいれんを起こした場合です。 ところが、海馬回旋遅滞症でてんかんを合併するのは10%前後に過ぎません。 発達障害の脳を説明するic理論とは?. 認知症のの診断診断に用に用用いるいる画像 CT MRI SPECT PET •脳血管性病変のの評価評価 •多発性のもの •大大きいものきいもの •両側性のもの •PVLのの評価評価 •小小さなさな病巣のの判定判定 •海馬のの評価評価 •PVHのの評価評価. 5.認知症のセルフチェック 『認知症の人と家族の会』が作成した認知症早期発見テストを試してください。いくつかの項 目が当てはまるなら、ぜひ、認知症外来を受診してください。他の病気と同じように認知症も 早期発見・早期治療が大切です。.
認知症の発症に因果関係が認められる場合に,血管性 認知症と診断する.脳血管障害の発症が明確ではな い,また認知症と病巣との関係が希薄であると判断さ れれば,単に血管障害の合併と診断されるようになっ てきている2. 認知症の診断は、MRIは過去の画像データと比較する 認知症は約10年~年、若年性認知症は約10年ほどかけて、ジックリ進行していきます。 脳細胞の萎縮もわずかな進行だと、1回のMRI画像だけでは分からないです。 ですので、MRI画像は、過去の画像と比較して、診断することが必要です。 人間ドック・脳ドックなどで、MRI検査をした時は、MRIの画像データをCDで.
脳のmri 認知症 アルツハイマー症の精密検査を 受けていたの巻 そしてカブトムシはいなかった Takapon Photo Blog Digital Vintage Films
有片 認知障礙症 認知障礙症影響記憶 行為 情緒診斷莫遲疑 明報健康網
罕見半側巨腦畸形伴多發動脈瘤一例 壹讀
Mri 認知 症 のギャラリー
Magnetic Resonance Imaging Reveals Dense Atrophy In The Frontotemporal Download Scientific Diagram
物忘れ外来 独立行政法人国立病院機構 甲府病院
笠松病院 早期アルツハイマー型認知症 Vsrad
專家專訪 從大數據解讀失智症大腦影像判讀 R 基金會
若年発症アルツハイマー型認知症が疑われた症例 日本メジフィジックス株式会社
撮って診る認知症genki55 Net 画像検査で認知症診断
了解診斷顯影技術 Ct Mri與pet有何不同
賢い選択 頭の病気 下 mriやpetを使った認知症診断 発症の危険性 判定困難 毎日新聞
阿茲海默症有可能被提前檢查出來嗎 磁振造影術 Mri 永越健康管理中心
真空性認知症mri脳 の写真素材 今すぐ編集
Mri Brain With Contrast Multiple Sclerosis Mri Scan Images Multiple Sclerosis Mri Brain Brain Lesions
認知症 物忘れでお困りの方は福岡市早良区おばた内科クリニック
Frontotemporal Dementia Wikipedia
その他の認知症 シニアメンタルクリニック日本橋人形町 人形町駅近くの老年精神科 神経内科 心療内科 老年内科 日本橋人形町
急性腦梗塞的mri診斷 每日頭條
健康なのに発症も アルツハイマー型認知症 は予防できるか 幻冬舎ゴールドオンライン Yahoo ニュース
メモリー 高次認知機能 ドック 医療法人社団 明芳会 横浜新都市脳神経外科病院
Mri顯示焦慮加速阿茲海默症的發展 Health Essence Of Asia 亞洲健康互聯
兒童腦瘤作者 臺大醫院外科部神經外科楊士弘主治醫師兒童專欄19年02月臺大醫院健康電子報
アルツハイマー病 認知症の診断 治療 近畿大学病院
連載 自動車産業人向けヘルス ケア 認知症は運転ができなくなる病気 5 脳血管障害性認知症の患者さんとmri画像所見 企画 解説 紙面記事
胎兒胼胝體發育不全丨mri診斷 雪花新闻
認知症について 札幌ことにメンタルクリニック 旧 前田神経クリニック
もの忘れ が気になる方々へ 日本メジフィジックス株式会社
專家專訪 從大數據解讀失智症大腦影像判讀 R 基金會
過度な飲酒 脳萎縮 招く 認知症の原因にも 脳ドック検診で確認を 日経bizgate
兒童腦瘤作者 臺大醫院外科部神經外科楊士弘主治醫師兒童專欄19年02月臺大醫院健康電子報
長庚醫訊 長庚紀念醫院
Chapter 16 04 Fdg Pet Ct 正子電腦斷層在癌症的應用
認知症 東邦大学医療センター佐倉病院 脳神経内科
正常圧水頭症 Nph 大西脳神経外科病院
Mriについて Mri検査はがん治療の宇都宮セントラルクリニック
圖表解讀 小腦疾病的臨床和影像學表現 Itw01
Magnetic Resonance Imaging Mri Of The Brain Brain Tumor Brai
脳血管性認知症の今昔 新潟市医師会報より
前頭側頭型認知症 認知症を知ろう 鶴川サナトリウム病院 認知症疾患医療センター
認知症の画像診断 その1 Iroop
脳形態画像からアルツハイマー型を鑑別できる 日経メディカル
認知症の原因 脳血管性認知症 久米医院ブログ
これって認知症かも 認知症に悩む前に知ってほしい4つのこと 病院紹介 上林記念病院 社会医療法人 杏嶺会
症状と治療 川瀬神経内科クリニック
症状と治療 川瀬神経内科クリニック
治せる認知症をご存知ですか 社会福祉法人 恩賜財団 済生会
Mri顯示焦慮加速阿茲海默症的發展 Health Essence Of Asia 亞洲健康互聯
神経内科 日本鋼管病院 こうかんクリニック 川崎市川崎区
腦血管疾病 Chiari畸形 脊髓空洞症 脊柱側彎研究所
中大成立全球首個華人 早發性認知障礙症 研究登記冊
專家專訪 從大數據解讀失智症大腦影像判讀 R 基金會
北榮王培寧 Pet Mri幫助人類了解神才能懂的失智症 Heho健康
圖表解讀 小腦疾病的臨床和影像學表現 每日頭條
アルツハイマー型認知症 認知症を知ろう 鶴川サナトリウム病院 認知症疾患医療センター
68 認知症を理解するために 脳 循環器病あれこれ 国立循環器病研究センター 循環器病情報サービス
人格が変わってしまう 前頭側頭型認知症 の初期症状 幻冬舎ゴールドオンライン Yahoo ニュース
腫瘤2顆變5顆 新 Mri標靶顯影 可揪1公分以下肝腫瘤 Ettoday健康雲 Ettoday新聞雲
脳ドック はら脳神経内科 内科クリニック
くぼりクリニック 診療案内
お知らせ Kin放射線治療 健診クリニック
進行性核上性麻痺 Psp のmri画像診断のポイントは 症状 原因 予後は
2 治せる認知症としての橋本脳症 特集 橋本脳症の診断と治療 Web医事新報 日本医事新報社
臨床案例 濫用笑氣中毒致神經系統損害一例 神經病學俱樂部 微文庫
ラクナ梗塞などの 隠れ脳卒中 を伴うアルツハイマー型認知症とは Nhk健康チャンネル
海馬のmri脳画像診断
脳の萎縮状態から認知症タイプを推測する形態画像診断 幻冬舎ゴールドライフオンライン
阿茲海默症有可能被提前檢查出來嗎 磁振造影術 Mri 永越健康管理中心
認知障礙症 浸大研新mri顯影劑冀助診斷阿茲海默症 明報健康網
アルツハイマー型認知症と鑑別が必要な認知症疾患の画像所見 日本メジフィジックス株式会社
Vci医学 Vci诊断盒 Vci诊断盒是什么 Ikr什么意思
血管性認知症 認知症を知ろう 鶴川サナトリウム病院 認知症疾患医療センター
有片 無敵mri 暗病統統現形 中空器官 細腫瘤隨時睇漏眼 明報健康網
東北メディカル メガバンク機構第1回 Mriが認知症の予防に 東北メディカル メガバンク機構
認知症の症候学 御所ヶ谷ホームクリニック
アルツハイマー型認知症 シニアメンタルクリニック日本橋人形町 人形町駅近くの老年精神科 神経内科 心療内科 老年内科 日本橋人形町
治る認知症 って 治療できる心理症状にも注目 Nikkei Style
核磁共振成像 維基百科 自由的百科全書
Mriでわかる認知症 クリニックブログ 木島脳神経外科クリニック
認知症とは 認知症ちえのわnet
血管性認知症 改善への道は 何かする 知ってほしい 認知症の大事な話 小田陽彦 毎日新聞 医療プレミア
額葉萎縮的mri 薄膜可能是前期認知障礙症庫存照片 立刻編輯
核磁共振成像 維基百科 自由的百科全書
認知症の説明 大分 精神病院 心療内科 うつ病 仲宗根病院
脳血流シンチ E Zis 初期アルツハイマー型認知症診断支援用
阿茲海默症有可能被提前檢查出來嗎 磁振造影術 Mri 永越健康管理中心
Biological Freak 科博館生老病死展場展示文稿註解8之8 03 08 17
錐體束徵 共濟失調 認知障礙 你會如何診斷 神經時間 微文庫
研究發現更好的mri標記物 用於多發性硬化症的殘障發展 每日頭條
診療ニュース 平成年3月号 青森労災病院
特集2 認知症 3大認知症の特徴 治療とケア 全日本民医連
人体正常脊椎mri 人体脊椎神经分布图 脊椎x光 脊椎挂图 Www Dingjisc Com
精神科治療学 32巻10号 17年10月発行 林眞弘 Pisa症候群を呈したレビー小体型認知症の1例
脳卒中を予防して 認知症を予防しよう 高知新聞メディトーク記事 もみのき病院 脳神経外科
はじめての方へ 認知症の診断方法 診察をうける際の注意点とは Lifull介護 旧home S介護


