40代 総入れ歯 画像
40代で歯が抜けてしまったとき、対応にお困りの方は多いのではないでしょうか? 今回の記事では、40代で入れ歯をご検討の方に向けて、入れ歯の見た目の部分を中心にご紹介します。 40代の人の入れ歯割合は? まずはじめに、40代でどれくらいの方が入れ歯を使用していらっしゃるかご存知.
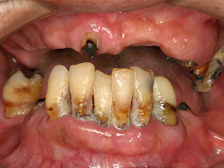
40代 総入れ歯 画像. 10代代の入れ歯で悩んでいる方へ 18年11月2日 50代女性の入れ歯の割合 15年8月26日 入れ歯を使う平均年齢は何歳くらい? 17年7月10日 意外と多い!30代40代50代の入れ歯事情 15年11月30日 入れ歯の長期保存方法. 部分入れ歯の画像 これは、通常のバネを使用した入れ歯です。 現在部分入れ歯を使用している人は、ほとんどがこのタイプになります。 バネの金属がハッキリと確認できますので、入れ歯をしていることが他人からも認識できます。. 当院ホームページはこちら⇒http//wwwmfdentaljp/indexhtml MFデンタルクリニック住所 〒 千葉県千葉市中央区新宿2102 MF10.
当院ホームページはこちら⇒http//wwwmfdentaljp/indexhtml MFデンタルクリニック住所 〒 千葉県千葉市中央区新宿2102 MF10. 代で入れ歯 30代で入れ歯 40代で入れ歯 50代以上で入れ歯 入れ歯人口2,900万人時代 失いやすい歯って、どこの歯? 自由診療の入れ歯治療と保険診療との違い 入れ歯ではなくインプラントをすすめる歯医者 材料について. 40代 女性 部分的な重度歯周病 院長ブログ 40代 女性 全体的な中等度歯周病および部分的な重度歯周病 お知らせ 院長ブログ 上下総入れ歯を入れて人生が変わった(40代男性).
この年代は、総入れ歯は少なく部分入れ歯がほとんどを占めます。 40代の入れ歯率 何かしらの原因で歯を失った40代の人は71%、約14人に1人です。約14人に1人がブリッジや入れ歯・インプラントの治療をおこなっていることになりますね。. 部分入れ歯の画像 これは、通常のバネを使用した入れ歯です。 現在部分入れ歯を使用している人は、ほとんどがこのタイプになります。 バネの金属がハッキリと確認できますので、入れ歯をしていることが他人からも認識できます。. とっても良い入れ歯があるんです。 まずは、画像を見てみて下さい。 写真は、30代男性。 上の前から3番目、そして、下の奥から2番目の歯がありません。 こちらが入れ歯をいれたところです。 上には、バルプラスト、下はウェルデンツを入れています。.
総入れ歯 総義歯 の費用 保険 保険外の種類と利点 欠点
ドイツ式入れ歯 永井歯科
若い方の総入れ歯 東京都千代田区 稲葉歯科医院 総入れ歯専門サイト
40代 総入れ歯 画像 のギャラリー
重度歯周病から総入れ歯へ 30代女性 東京都千代田区 稲葉歯科医院 総入れ歯専門サイト
30代 40代の入れ歯 宮城 岩沼市 仙台市の入れ歯 義歯外来 佐藤歯科 矯正歯科醫院
目立たない入れ歯の症例 こうづま歯科医院 ローズ歯科医院
症例集 福岡入れ歯専門研究所 博多プライベート歯科運営の福岡の精密入れ歯 義歯の相談所
入れ歯になると見た目にすぐわかるものでしょうか 30代前半 女性 東京千代田区のドイツ式入れ歯専門 稲葉歯科医院
入れ歯になると見た目にすぐわかるものでしょうか 30代前半 女性 東京千代田区のドイツ式入れ歯専門 稲葉歯科医院
ほとんど歯がない人の部分入れ歯 40代女性 入れ歯専門の歯科医院 東京池袋の萩原歯科医院
若くして入れ歯になってしまった方へ 神戸市にある木下歯科医院 神戸の精密入れ歯専門外来 木下歯科医院
ほとんど歯がない人の部分入れ歯 40代女性 入れ歯専門の歯科医院 東京池袋の萩原歯科医院
若くして入れ歯になってしまった方へ 神戸市にある木下歯科医院 神戸の精密入れ歯専門外来 木下歯科医院
40代で総入れ歯にするメリットとデメリット 歯科医 諌山正典 マイベストプロ大分
インプラント症例紹介 一之江駅前イルニード歯科 江戸川区 瑞江 船堀 小岩 葛西エリアでワンランク上の歯科治療
若くして入れ歯になってしまった方へ 神戸市にある木下歯科医院 神戸の精密入れ歯専門外来 木下歯科医院
ほとんど歯がない人の部分入れ歯 40代女性 入れ歯専門の歯科医院 東京池袋の萩原歯科医院
40歳代で 入れ歯になる方の共通した悩み 新潟市の歯医者 歯科 入れ歯 スポーツマウスガードなら りんご歯科医院
40代で総入れ歯にするメリットとデメリット 歯科医 諌山正典 マイベストプロ大分
入れ歯 義歯は西宮市 甲東園駅近くの歯科医院 歯医者 ケイ歯科クリニックへ 入れ歯 義歯対応の西宮市の歯科医院 歯医者
総入れ歯を覚悟した50代男性 O M様 患者様の声と治療実績 おくだ歯科医院 歯周病 インプラントセンター
30代 40代 50代の人必読 将来総入れ歯にならないために歯医者に通って欲しい理由 デンタルコラム おくだ歯科医院 歯周病 インプラントセンター
前歯6本 入れ歯の種類について教えてください 40代女性 東京千代田区のドイツ式入れ歯専門 稲葉歯科医院
歯周病を治療せず歯が抜けるまで放置した40代女性が総入れ歯にもならず復活を果たした名医の治療とは Gvbdo
歯医者のトラウマが強く 長い間歯医者へ行けませんでした 50代女性 イギリス在住 東京千代田区のドイツ式入れ歯専門 稲葉歯科医院
40代で失った歯を補うための入れ歯 ブリッジ インプラントの選択肢 歯周病治療なら東京国際クリニック 歯科
総入れ歯とその他の治療法 エド日本橋歯科
40代の人におすすめの 目立たない入れ歯はありますか 神奈川県茅ヶ崎 藤沢 平塚市の入れ歯なら岩田歯科医院へ
マグネット総入れ歯 フィンデンチャー 上領歯科医院
重度歯周病 ひどい歯槽膿漏 治療例 重度歯周病 ひどい歯槽膿漏の治療室
若い方の総入れ歯 東京都千代田区 稲葉歯科医院 総入れ歯専門サイト
ホワイトニング 40代女性 上尾市 北上尾の歯医者 歯科 インプラント 入れ歯なら沼尻歯科医院
若松様の体験記 東京銀座歯科
バネの見えない入れ歯 40代女性 ミラクルデンチャー
入れ歯を痛みなく強く噛めるように 藤沢の歯医者 井上歯科医院
3
Q Tbn And9gcrxxxa 2cavf9xnlnqgwrapuu Xxkhoydxk8q7exw2ecsg0rl Usqp Cau
浜松市よく咬める入れ歯と歯周病治療 入れ歯でお悩みの方へ入歯 義歯専用症例紹介サイト
1
50代 女性 総義歯 総入れ歯 治療 入れ歯 治療実績多数 上川歯科医院
主に 付録 不完全 入れ歯 女性 Servicehospitality Org
15万円 若い人にも人気 の目立ちにくい入れ歯 義歯 本郷歯科クリニック さいたま市 東宮原駅近く の歯医者
患者様の声と治療実績 おくだ歯科医院 歯周病 インプラントセンター
30代 40代にお勧めの入れ歯 ばれない よく噛める入れ歯 気になる費用も ウエストデンタルクリニック
患者様の声 小林歯科医院
目立ちにくい入れ歯 スーパーデンチャー 小林歯科クリニック 大阪府 吹田市 豊中市 江坂駅
40代で失った歯を補うための入れ歯 ブリッジ インプラントの選択肢 歯周病治療なら東京国際クリニック 歯科
パーシャルパラレルミリング義歯 小机歯科医院 横浜市港北区 マイクロスコープによる診療
40代の人におすすめの 目立たない入れ歯はありますか 神奈川県茅ヶ崎 藤沢 平塚市の入れ歯なら岩田歯科医院へ
17年2月 栃木県佐野市の入れ歯 部分入れ歯なら目黒歯科医院
ホワイトニング 40代女性 上尾市 北上尾の歯医者 歯科 インプラント 入れ歯なら沼尻歯科医院
患者様の声 マグネット義歯 函館市の歯科 なしき歯科医院
入れ歯に関する実際の相談例
総入れ歯が既にインプラントをされた人にとっての対策方法 改善策 代替 他の選択肢というのが名医の選択 04 Gvbdo
症例
治療事例 我孫子の歯医者さん なかむら歯科
榊原郁恵は総入れ歯ですか 知らない 本人に聞いてみて Yahoo 知恵袋
インプラント症例11 重度歯周病で歯がぐらつき 食事もできなかった患者さま
30代から入れ歯 何歳から入れ歯になる可能性があるのか 埼玉県さいたま市の入れ歯なら福永歯科医院
30代 40代で入れ歯になってしまう 原因と対応策 補綴学会認定専門医が監修する情報サイト 入れ歯ナビ
15万円 若い人にも人気 の目立ちにくい入れ歯 義歯 本郷歯科クリニック さいたま市 東宮原駅近く の歯医者
30代 40代にお勧めの入れ歯 ばれない よく噛める入れ歯 気になる費用も ウエストデンタルクリニック
目立たない入れ歯の症例 こうづま歯科医院 ローズ歯科医院
患者様の声 マグネット義歯 函館市の歯科 なしき歯科医院
総入れ歯に適応する近道
症例紹介 精密義歯 入れ歯専門外来 歯周病専門外来 サンライズ歯科医院
目立ちにくい入れ歯 スーパーデンチャー 小林歯科クリニック 大阪府 吹田市 豊中市 江坂駅
30代 40代の若い方の入れ歯について 東京千代田区のドイツ式入れ歯専門 稲葉歯科医院
40代 女性 全体的な中等度歯周病および部分的な重度歯周病 北坂戸 坂戸 の歯科 歯医者 入れ歯なら もりや歯科 へ
インプラント症例11 重度歯周病で歯がぐらつき 食事もできなかった患者さま
パーシャルパラレルミリング義歯 小机歯科医院 横浜市港北区 マイクロスコープによる診療
症例集 福岡入れ歯専門研究所 博多プライベート歯科運営の福岡の精密入れ歯 義歯の相談所
肺炎で入院 入れ歯を外したままにすると Yomidr ヨミドクター 読売新聞
総入れ歯にするタイミングはいつ 歯の状態 年齢 判断の基準 インプラント広場
歯科嫌いで年ぶりの治療 噛めなくて丸飲みを何とかしたい 40代 男性 入れ歯専門の歯科医院 東京池袋の萩原歯科医院
総入れ歯 インプラント 全ての歯を失ったとき3つの治療法 ハイライフグループ
30代で総入れ歯という場合もあるのでしょうか 神奈川県茅ヶ崎 藤沢 平塚市の入れ歯なら岩田歯科医院へ
入れ歯つくるなら保険診療の入れ歯してから作り替えるのが Newsポストセブン Goo ニュース
40歳で 総入れ歯にしましょう と言われて 鬱病になりそうなあなたへ ドイツ式入れ歯とインプラントの専門医院 栃木県佐野市 目黒歯科医院 Tel 02 62 1125
症例集 福岡入れ歯専門研究所 博多プライベート歯科運営の福岡の精密入れ歯 義歯の相談所
歯周病治療 医療法人社団 和歯科医院 神栖 市 鹿嶋 市 歯科 医院 歯周病 インプラント 審美 歯科
40代の人におすすめの 目立たない入れ歯はありますか 神奈川県茅ヶ崎 藤沢 平塚市の入れ歯なら岩田歯科医院へ
40代の入れ歯の割合と治療方法 こころ歯科大和クリニック 大和市柳橋 大和駅
女性向けの見た目の美しい入れ歯 埼玉の入れ歯専門歯科 福永歯科医院
40歳で入れ歯だなんて 誰にも相談できない とお悩みの方に朗報です ドイツ式テレスコープ入れ歯
入れ歯で治療した40代女性の患者様の声 埼玉県さいたま市の入れ歯なら福永歯科医院
がん 糖尿病 心臓病 肺炎まで 死に至る病 を引き起こす 歯周病 の恐怖 週刊女性prime
目立たない入れ歯の症例 こうづま歯科医院 ローズ歯科医院
入れ歯 義歯の治療内容 栄治歯科クリニック 横浜市神奈川区 東神奈川駅 Epark歯科
少数の歯が残っている部分入れ歯 浜松市 部分入れ歯 総入れ歯 浜松市 歯科オペラデンタル
マグネット総入れ歯 フィンデンチャー 上領歯科医院
患者様の声 小林歯科医院
Q Tbn And9gct84knx8hvuj7htn73wp2peojjj8i9qfkpupwi7bs1 Nnyfr0ay Usqp Cau
40歳代で総入れ歯
ひどい歯周病の治療例動画 40代女性 Youtube
総入れ歯を覚悟した50代男性 O M様 患者様の声と治療実績 おくだ歯科医院 歯周病 インプラントセンター
酒井法子は総入れ歯ですか 夜 はずして寝ていたら そうです Yahoo 知恵袋
若松様の体験記 東京銀座歯科
40代女性 入れ歯のバネが目立って気になりノンクラスプデンチャーで審美性を回復した症例 相模原市西橋本の歯医者さん ナチュラルデンタルオフィス橋本
バネの見えない入れ歯 40代女性 ミラクルデンチャー
若くして入れ歯 うつになる人も 入れ歯 悪い は完全に間違い 十分な咀嚼で全身健康
17年2月 栃木県佐野市の入れ歯 部分入れ歯なら目黒歯科医院
50代 女性 総義歯 総入れ歯 治療 入れ歯 治療実績多数 上川歯科医院
症例 治療例 藤沢の歯医者 井上歯科医院


